「小児矯正装置」は、お子さまに負担の少ない装置で、お子さまの成長にアプローチし、歯並びが悪くなる前に歯並びの予防を行えることが特徴です。
小児矯正
成長期のお子さまの矯正治療
お子さまの適切な成長発育を促し、歯並びが悪くなる前に予防することができるのが、子どもの矯正(小児矯正)のメリットです。
当院の小児矯正の特徴
-
一期完結を目指す治療方針
矯正治療には、乳歯のある時期に行う「一期矯正」と永久歯に生えかわったあとに行う「二期矯正」があります。
一般的に「小児矯正」は、一期矯正である程度歯並びを整えて、永久歯に生えかわってから二期矯正で仕上げることが多いのですが、当院は二期矯正ありきの一期矯正を行わず、できるだけ一期矯正で完結するように治療計画を立案します。 -
一期完結型なので、低コスト
二期矯正まで行うと、一期+二期の総額で相場は80万円前後となり、成人矯正と変わらない治療費となります。
しかし、一期矯正だけで完結すれば、約半分の治療費でお子さまの歯並びを改善させることができます。 -
お子さまの負担を低減
当院で使用する矯正装置は、基本的にワイヤー矯正のような痛みはほとんどありません。
また装着時間は1日8〜10時間(就寝時と日中1〜2時間)ほどで基本的にはご自宅で使用していただくので、学校生活や習い事など、お子さまの日常生活への負担を低減できます。 -
期間限定(成長途中の時期)の治療
お子さまの成長を利用した治療ですので「成長途中の時期」に治療をはじめます。
この時期から矯正治療を行うと、
(1)将来的に抜歯をせずに矯正治療が行える可能性があがる。
(2)将来二期矯正を行うとしても治療期間を短縮できる。
(3)日常生活にほとんど負担のない装置を使用できる。
といったメリットがあり、歯並びが本格的に悪くなる前に予防することができます。 -
お子さまの成長変化に柔軟に対応できる
成長期のお子さまは、歯の生えかわりによって歯並びの状態が大きく変化し続けるため、永久歯に生えかわるまで長期的な管理が必要です。
当院では、「顎の成長」「歯の生えかわり」など成長に伴う変化に柔軟に対応し、乳歯のある6歳頃から永久歯が生えそろう12歳頃まで、基本的に一期矯正の費用で一貫してフォローしていきます。※骨格的にかみ合わせの大きなズレがあったり、極端に歯の並ぶ場所が足りない場合などは、二期矯正を考慮したご提案となることがあります。
例えば・・・・・・
子どものマウスピース矯正は治療期間が約1年半と短期間で治療が終了できるメリットがありますが、それ以降の永久歯に生えかわる12歳頃までの長期的な管理が難しいという弱点があり、マウスピース矯正以外の期間で他の装置が使え、きちんと管理できるかどうかがマウスピース矯正治療の効果を最大限発揮できる鍵となります。
小児歯科専門医と矯正医が連携して治療を担当
子どもの矯正治療は大人の矯正治療と違い、子ども特有の「歯の生えかわり」や「成長発育」についても対応が必要です。
当院では、子どもの歯並びを含めた小児歯科全般にかかわる知識と技術を有した小児歯科専門医と、歯並びのプロである矯正認定医が連携して、小児矯正をご提供しています。
当院で小児矯正を受ける"安心ポイント"
小児歯科専門医が小児矯正を担当
小児歯科専門医は、日本歯科専門医機構の認可を受けた、小児にかかわる高度で総合的な知識と治療技術を有している歯科医師です。もちろん子どもの歯並びについても充分な知識と技術を有しています。
矯正認定医と連携したチーム医療
当院では、小児矯正において「TOD」と提携し、専門性の高いチーム医療を提供しています。
当院の小児歯科専門医とTOD在籍の矯正認定医が連携し、治療計画の立案から治療の進行、治療終了後の保定観察まで一貫して対応しています。
また当院で使用する小児矯正装置は、TOD直属の技工所で矯正装置専門の技工士が製作にあたっています。
TODとは?
TODとは、矯正治療のノウハウを身につけた日本最大規模の矯正医スタディグループです。
当院の小児歯科専門医は、TODセンターのレクチャーや実習を受けノウハウを学んでおり、さらに、TODに所属する矯正認定医から臨床現場でのアドバイスやサポートを受けることで、より高いレベルの治療を提供できる体制を整えています。
その結果、当院では、子どもにかかわる高度で総合的な知識と技術を有する「小児歯科専門医」と矯正治療のプロフェッショナルである「矯正認定医」が緊密に連携し、「精密で質の高い小児矯正治療」を行うことが可能です。
装置の種類
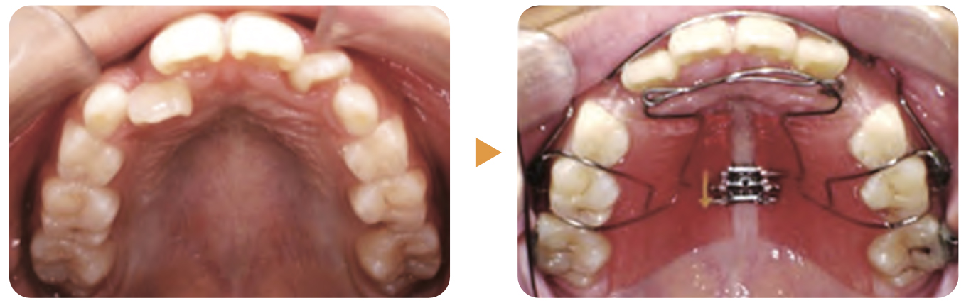
1.拡大装置

歯が並ぶのに十分な隙間がない場合に使用する装置です。取り外し式で、夜寝る時と日中1〜2時間自宅で使用します。
拡大装置の特徴
- 痛みが少ない
- 使用できる時期(年齢)に余裕がある
- 顎を拡げて歯が並ぶペースを作るだけでなく、前歯のコントロールもできる
- かみ合わせへのアプローチができる
拡大装置の使用例(治療前・治療後)

装置の真ん中がどんどん拡がり、治療後は歯が正しく並んでいきます。
2.バイオネーター

上下顎が一体となった装置です。前歯の出っ張りの治療などに使用します。
取り外し式で夜寝る時のみ使用します。
バイオネーターの特徴
- 痛みが少ない
- 就寝時のみ使用
- かみ合わせの改善に加えて顎の骨へのアプローチができる
3.プレオルソ

柔らかい取り外し式の装置で、歯並びやかみ合わせを整えることに加えて、舌の位置やお口の周りの筋肉のバランスも整えます。就寝時と日中1時間使用します。
プレオルソの特徴
- 痛み・違和感が少ない
- 装置を取り外しできる
- 治療後に後戻りがしにくい
- 口まわりの悪習癖を改善できる
どの装置を選択しても負担が少ないから安心

小児矯正の流れ
-
相談
当院に通われているお子さまも通われていないお子さまも、無料相談をお受けしていますので、お気軽にご来院ください。
-
検査
顔貌写真・口腔内写真(5枚法)・レントゲン写真(パノラマ、セファロ)・模型印象などを行い、矯正治療の計画を立てるためのデータを採得します。
-
診断
検査結果、治療方針、使用する装置、矯正料金について説明いたします。
-
治療開始
装置の使用方法、取り扱いについて説明し、いよいよ矯正装置をつけて治療が開始します。
-
経過チェック
装置の調整・顔貌写真・口腔内写真・模型印象などを行います。
月に1回診察を行い、正しく歯が動いているか確認します。
-
治療終了
矯正装置の使用が終了し、顔貌写真、口腔内写真、レントゲン写真、模型印象などの資料採得をします。
-
保定観察
治した歯並びが後戻りしないように保定装置をつけ、定期的に経過をみていきます。装置を外した直後は3〜6ヶ月おき、その後は6ヶ月に1度の定期検診を行います。
※少なくとも矯正治療を行なった期間と同じ期間の保定観察が必要です。
いつから始めたらいい?
- 男の子:6〜11歳
- 女の子:6〜10歳
開始時期はこの間であれば改善が見込めます。
上の前歯と上下左右6歳臼歯が萌出した6,7歳頃に始めるのがちょうど良いタイミングです。
成長を利用した矯正治療は、始める時期が大切です。
顎の成長コントロールが十分見込める時期に矯正治療をスタートすることが、一期矯正完結のキーポイントとなります。
そのため、成長コントロールの見込みの少ない顎の成長が緩やかになる年齢から始める場合は、二期矯正も視野に入れたご提案となることがあります。
成長を利用する「小児矯正」は
期間限定です

子どもの時期の歯並びの問題の多くは、顎の成長不足で歯が並ばなかったり、上下の顎の成長のアンバランスによって起こるかみ合わせの問題です。
小児矯正は、乳歯から永久歯へ生えかわる顎が成長途中のうちにできる治療です。
この時期に矯正治療を行うことで、成長を利用して顎のバランスを整えて歯の並ぶ場所やかみ合わせを改善し、本格的に歯並びが悪くなるのを予防します。
将来のお子さまのきれいな歯並びのために、ぜひ小児矯正をご検討ください。
医院基本情報

押上で最新の高度医療を提供する歯医者押上そらいろ歯科
〒131-0045 東京都墨田区押上2丁目10-8
ライフコア押上103号
| 診療時間 | 月 | 火 | 水 | 木 | 金 | 土 | 日 | 祝 |
|---|---|---|---|---|---|---|---|---|
| 9:00-13:00 | ● | ● | ● | ● | ● | ● | / | / |
| 14:00-18:00 | ● | ● | ● | ● | ● | ● | / | / |
徒歩1分


- 押上駅A3出口より徒歩1分(京成成田スカイアクセス/半蔵門線/押上線/
東武スカイツリーライン/浅草線) - とうきょうスカイツリー駅より徒歩5分(りょうもう線/東武スカイツリーライン/
東武日光・きぬがわ線)

