入れ歯は保険適用で費用が抑えられ、利用者が多い欠損歯の治療です。しかし、噛み心地が悪く異物感や痛み、見た目の問題が生じやすいことがデメリットとして挙げられます。さらに部分入れ歯の金属留め具などで支えの歯に負担がかかる恐れがあります。
ただ、自費診療の入れ歯を用いることで、これらのデメリットを緩和することができます。
前歯を1本失ってしまった時に、失った部分を補う方法としてブリッジ、入れ歯、インプラントの3つの選択肢の中から、いずれかの治療法を選択します。
接着ブリッジは名前の通り、ブリッジと呼ばれる治療法に属しますが、ブリッジと比べ歯を削る必要がほとんどないため、接着ブリッジは非常に画期的な治療法といえます。
接着ブリッジを詳しく説明する前に、まずは歯を失った際の代表的な治療法であるブリッジ、入れ歯、インプラントについて知っておくと、接着ブリッジの特徴がより理解しやすくなります。
そこで、先にこれら3つの治療法をご紹介します。
ブリッジは欠損歯の隣の歯を削り、人工歯を橋のように装着する治療法です。保険適用のため安価ですが、支台歯(隣の歯)への負担増や汚れの溜まりやすさなどのデメリットがあります。
入れ歯は保険適用で費用が抑えられ、利用者が多い欠損歯の治療です。しかし、噛み心地が悪く異物感や痛み、見た目の問題が生じやすいことがデメリットとして挙げられます。さらに部分入れ歯の金属留め具などで支えの歯に負担がかかる恐れがあります。
ただ、自費診療の入れ歯を用いることで、これらのデメリットを緩和することができます。
インプラントは歯のない部位の顎骨にチタン製の人工歯根を直接埋め込み、その上にセラミックなどの人工歯冠などを装着する治療法です。
隣り合う健康な歯に負担をかけることがなく、噛み心地も天然歯に近く、見た目も自然で綺麗です。
デメリットは自由診療のため高価になりがちである点と、外科処置を伴う点です。
それぞれ治療法にはメリット・デメリットがあります。審美性、機能性や、隣り合う歯の負担を考慮すると、治療法の第一選択肢はインプラントと考えます。
しかし、顎骨の成長が止まっていない若年者、オペをするには難しい全身疾患を有される方、手術への恐怖心をお持ちの方などはインプラントには不向きと言われています。
そのような場合に、第4の選択肢として接着ブリッジを考えます。
接着ブリッジとは従来のブリッジとは異なり、ほとんど歯を削ることはありません。従来のブリッジは2本切削を行いますが、接着ブリッジは1本のみで済みます。さらに全ての切削はエナメル質内にとどめるため、切削量は0.5mm程度のみとなり、対象箇所は裏側と横側の一部のみです。
日本でも接着ブリッジは保険適応にはなっていますが、当院では保険の接着ブリッジは審美性や機能を考慮して行っておりません。
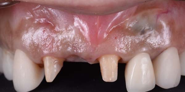
こちらの治療前の3つの写真は、当院で接着ブリッジを行う前の状態の写真です。
過去に他院にて、下の前歯に対して保険適応内の接着ブリッジによる治療を行いましたが、審美障害(見た目が悪くなること)を主訴に当院にご来院されました。
保険内の接着ブリッジは金属を使用するため、日本人のようなエナメル質が薄い場合、その金属の色を拾い、黒く透けてしまいます。また、強固な接着力を求めて両側の2本分の歯に着けていくので、より審美性は悪くなる傾向があります。

先ほど3つあった治療前の写真の中でも、特にこちらの写真が分かりやすいですが、裏側に金属を使用しているため、正面から見ると金属が透けて見え、黒っぽく映ります。

保険適応の接着ブリッジの問題点はまだあり、金属の帯電効果の性質により、汚れが滞留しやすくなるというデメリットもございます。
これではなかなか長期予後が見込めません。
汚れが溜まっている様子は、こちらの治療前の写真が分かりやすいかと思います。
今回のケースは元々の切削量が多かったため、従来のブリッジ形態のセラミックブリッジで対応しました。
治療後は、治療前と比較して審美性(見た目の美しさ)が格段に良くなったことが分かるかと思います。
下記のCase1とCase2の症例も上記の症例と同じく、当院で行ったジルコニアを用いた接着ブリッジの治療例になります。
※保険適用の接着ブリッジでは審美性や機能面での限界があるため、当院では保険ではなく自費の接着ブリッジの治療を行っております。
| 主訴 | 重度糖尿病にてインプラントオペ困難にて接着ブリッジを選択 |
|---|---|
| 治療内容 | 接着ブリッジ |
| 治療期間 | 2ヶ月 |
| 費用 | 253,000円/本(税込) |
| リスク | セラミックの破折、色調再現の限界 |
| 主訴 | 左上前歯の先天欠如による審美障害を主訴に来院 |
|---|---|
| 治療内容 | 接着ブリッジ |
| 治療期間 | 2ヶ月 |
| 費用 | 253,000円/本(税込) |
| リスク | セラミックの破折、色調再現の限界 |
かつては接着ブリッジが日本でも流行っていた時期がありましたが、外れやすく、審美性の問題もあり、接着ブリッジは日本においてスタンダードな治療法にはなりませんでした。
しかし、そこで登場したのがジルコニア接着ブリッジです。
セラミックの中でも強度のあるジルコニアフレームを用いた審美性、機能性、耐久性を兼ね備えた治療方法です。
当院では、そのジルコニア接着ブリッジを用いて治療を行っており、本ページに掲載しているケース(治療例)においてもジルコニア接着ブリッジを用いたため、とても綺麗な仕上がりになりました。
当院の院長はジルコニア接着ブリッジの権威であるドイツ・キール大学M. Kern教授の教室に留学し、ジルコニア接着ブリッジの研究を行っておりました。
エビデンスに基づいた手法・手技を用いて、前歯の一本欠損に対する治療の選択肢としております。実際の臨床では15年予後で90%以上の安定した成績が見込めるというエビデンスも有ります。
ただ、接着ブリッジには適応できるケース・不適応なケースもあるため、全員が対象可能になるわけではないため、診査を慎重に行わなければなりません。
虫歯治療でできるだけ歯を削りたくない、綺麗な仕上がりにしたい、インプラント治療は怖い、などのお悩みがある方はぜひ一度当院の専門医にご相談いただけたらと思います。

押上で最新の高度医療を提供する歯医者押上そらいろ歯科
〒131-0045 東京都墨田区押上2丁目10-8
ライフコア押上103号
| 診療時間 | 月 | 火 | 水 | 木 | 金 | 土 | 日 | 祝 |
|---|---|---|---|---|---|---|---|---|
| 9:00-13:00 | ● | ● | ● | ● | ● | ● | / | / |
| 14:00-18:00 | ● | ● | ● | ● | ● | ● | / | / |

