インプラントは、入れた瞬間よりも「10年後、20年後も使い続けられるか」が本当の評価基準です。
そのために必要な準備をしっかり行うこと、それが当院のインプラント治療における基本姿勢です。矯正との併用についてご興味がある方は、まずはご相談ください。
インプラントと矯正を
併用した治療
長く使い続けるための
「インプラントと矯正を
併用した治療」
歯を失った場合の治療法として、インプラントはとても信頼性の高い選択肢です。
しかし、インプラントを入れるだけでは、長期的に良い結果を得られないことがあります。その理由は「噛み合わせ」にあります。
どれだけ精度の高いインプラントを使っても、噛み合わせのバランスが整っていなければ、インプラントに過剰な負担がかかり続けます。
当院では、インプラントを長く、美しく機能させるために、矯正治療との組み合わせを積極的にご提案しています。
インプラントが長持ちしない
本当の理由 —噛み合わせと骨の関係
なぜ「悪い噛み合わせ」がインプラントの寿命を縮めるのか
インプラントは、顎の骨に人工の歯根を埋め込み、その上に人工の歯を被せる治療です。
天然の歯と大きく異なる点として、インプラントには「歯根膜(しこんまく)」と呼ばれるクッション組織がありません。
歯根膜は、噛む力を吸収・分散させる役割を持つ薄い膜で、天然の歯はこの仕組みによって過剰な力から保護されています。
インプラントにはその保護機構がないため、噛み合わせが悪い状態で使い続けると、特定の場所に力が集中しやすくなります。
これが長期間繰り返されると、インプラントを支えている顎の骨が少しずつ吸収(骨が溶けていく現象)され、最終的にはインプラントが安定を失うリスクがあります。
歯並びが乱れていることによるインプラント治療への悪影響
歯並びが乱れている状態では、インプラントを理想的な位置や角度に配置することが難しくなります。周囲の歯が傾いていたり、スペースが不足していたりすると、インプラントの向きが歪んでしまい、噛み合わせの問題がより深刻になることもあります。
インプラントを「長く使える歯」として機能させるためには、歯並びや噛み合わせの土台を整えることが非常に大事です。
また、噛み合わせの問題は見た目の問題とも深く関係しています。インプラントの人工歯がどれだけ精巧に作られていても、周囲の歯の位置がバラバラであれば、全体の調和は生まれません。
当院がインプラントの審美性にこだわる理由はここにあります。機能と見た目の両方を高い水準で実現するには、まず歯並び全体を整えることが欠かせません。
治療順序の考え方
矯正が先か、インプラントが先か
当院での基本的な治療の流れは、矯正治療を先に行い、歯並びと噛み合わせを整えてからインプラントを行うというものです。
矯正治療を先に行う理由
矯正治療では、ブラケットやワイヤー、またはマウスピース型装置を使って、歯に継続的な力をかけることで少しずつ歯を動かします。この「動かす」という操作は、天然の歯にしか行えません。
インプラント体は顎の骨と直接結合(骨結合:オッセオインテグレーション)しており、骨の一部のように固定されているため、矯正の力をかけても移動させることができないのです。
つまり、インプラントを先に入れてしまうと、その周囲の歯を矯正で動かすことができなくなり、理想的な歯並びへの調整が制限されます。矯正によってすべての歯を正しい位置に移動させてからインプラントを埋め込むことで、最終的な仕上がりの精度が格段に上がります。
インプラントが先になるケース
ただし、すべての患者様に「矯正先行」が適用されるわけではありません。下記のような場合には、先にインプラントで歯を補い、咬合(こうごう:上下の歯が噛み合う状態)をある程度安定させてから矯正治療を行うことがあります。
- 複数の歯を失っている場合
- 歯がない状態が長期間続いていて噛み合わせのバランスが大きく崩れている場合
歯がない期間が長くなると、周囲の歯が少しずつ傾いてきたり、噛み合わせの基準となる位置が変化したりします。
この状態で矯正だけを先行させようとすると、どの位置を目標にして歯を動かすべきかが定めにくくなります。
そのような場合には、インプラントで「基準となる噛み合わせ」を先に作り、それをもとに残りの歯の位置を矯正で整えるという順序が適切です。
治療順序の決め方
治療の順序は、患者様の口腔内の状態、歯の本数、顎の骨の状態などを総合的に評価した上で決定します。どちらが先であっても、最終的な目標は変わりません。噛み合わせを整え、インプラントが長く安定して機能する環境を作ることです。
治療の流れと期間
何をどのような順番で進めるのか
矯正とインプラントを組み合わせた治療は、複数のステップに分かれています。一般的な流れをご紹介します。
-
精密検査・治療計画の立案
レントゲン撮影、口腔内スキャン、咬合の評価などを行い、矯正とインプラントを含む包括的な治療計画を立てます。この段階で治療の順序・期間・費用についても詳しくご説明します。
-
矯正治療(歯を動かす期間)
ブラケット装置またはマウスピース型矯正装置を使用し、歯並びと噛み合わせを整えます。期間は症例によって異なりますが、概ね1〜3年程度です。
-
保定期間
(歯の位置を安定させる期間)矯正が終わった直後は歯を支える骨がまだ完全に安定していないため、保定装置を使用して歯の位置を固定します。数か月の経過を確認した上でインプラントの手術へ進みます。
-
インプラント埋入手術
矯正で確保したスペースに、インプラント体を埋め込みます。局所麻酔下で行う手術で、1本あたり30〜60分程度が目安です。
-
骨との結合期間
インプラント体が顎の骨としっかり結合するまで、概ね2〜6か月の経過観察を行います。この期間は仮の歯を装着して生活していただきます。
-
上部構造(人工の歯)の装着と
咬合調整骨との結合が確認できた後、最終的な人工の歯(クラウン)を取り付けます。周囲の歯との色・形・大きさのバランスを丁寧に調整します。
-
定期メンテナンス
治療終了後も、インプラント周囲の清潔を保ち、噛み合わせの変化がないかを定期的に確認します。
全体の治療期間
治療期間は全体で2〜4年程度になることが多く、決して短い治療ではありません。
しかし、この時間をかけて順序を守ることが、結果として「長く使えるインプラント」と「整った噛み合わせ」を同時に実現する最も確実な方法です。
当院の治療方針
見た目と噛み合わせ、両方を追求
した理由
インプラントは「歯を失った部分を補う治療」ですが、当院ではそれにとどまらず、口腔全体のバランスを整えることを目指しています。その考え方の根底にあるのが、「インプラントは噛み合わせあってこそ長持ちする」という原則です。
どれだけ精密な技術でインプラントを埋めても、噛み合わせが悪ければ数年後に問題が生じる可能性があります。反対に、矯正でしっかりと土台を整えたうえでインプラントを行えば、インプラントにかかる負担は均等に分散され、顎の骨への影響も最小限に抑えられます。
また、審美面においても、矯正とインプラントを併用することはとても重要です。人工歯の色や形をどれだけ丁寧に作製しても、周囲の歯並びが乱れていれば、全体として自然な印象にはなりません。
矯正で歯の位置を整えてからインプラントを行うことで、角度・大きさ・隙間のバランスが揃い、「自然な歯列の一部」として違和感なく仕上げることができます。
見た目も機能性も追求した治療をしたい方へ

インプラントと矯正を併用した
症例紹介
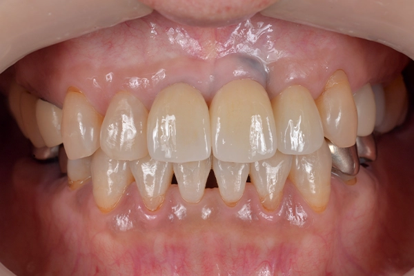
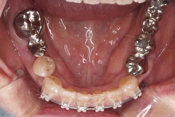
治療前後の比較
正面
before
after
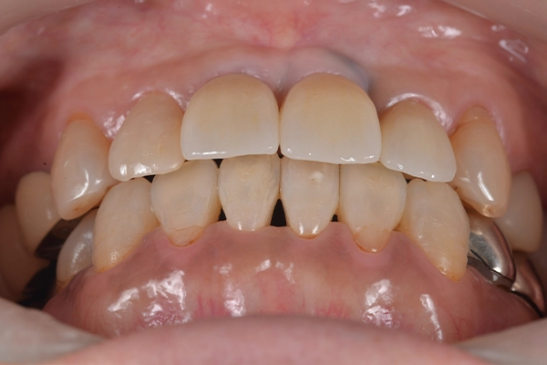
噛み合わせの状態
before
after
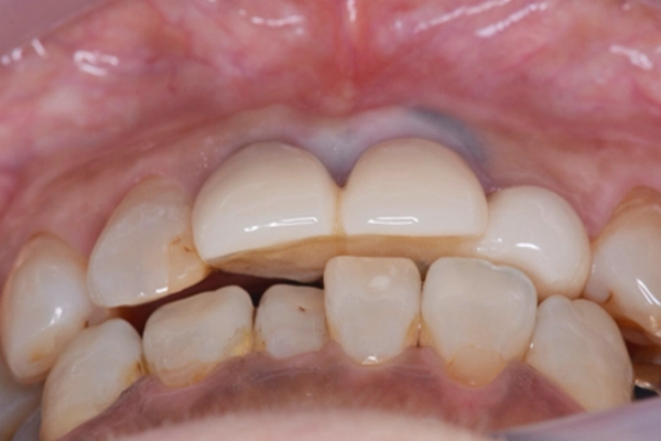
初診時の状態
こちらの症例の患者様は他院で治療途中となっていた前歯の治療の続きをしたいと来院されました。仮歯が入った状態のまま放置してしまい、最近になって痛みも出るようになったとおっしゃっていました。
患者様の希望としては前歯は費用がかかってもいいので綺麗にしたいが、臼歯部に関しては、以前通っていた他の歯科医院でも抜歯しないといけない歯があると何年も前に言われていましたが、症状なく経過しているため特に症状がなければ使えるところまで使っていきたいとのことでした。患者様の強い要望により、今回当院では前歯部の見た目(審美面)に注力して治療を行なうことといたしました。
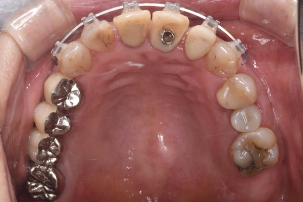
口腔内診査
口腔内の診査をしたところ、下記の問題点がございました。
- 右上1番〜左上2番まで仮歯と思われるものが装着
- 左上2番は舌側転移
- 上下顎は共に叢生(ガタガタ)
- 左上7番、右下7番は欠損
- 左下3〜8番にブリッジ装着
- 右下5・6番は連結冠装着
レントゲン写真
下顎頭の変形はなく、顎関節の異常はなく、筋触診でも硬直や圧痛などはありませんでした。
黄色矢印が根尖性歯周炎、青丸が不良補綴物(過去に行った被せ物や詰め物が劣化している状態)がある箇所を示しております。
ポケット診査・デジタルX線撮影
左上1番には排膿がありポケットも深い状態で、破折の疑いがあります。また、右下5番近心もポケットが9mmありおそらく破折が疑われましたが、患者様はそれは知っており、他院で指摘を受けてから7〜8年何もなく経過しているとのことでした。
左上1番に関してはデジタルX線を撮影し、その結果からも骨吸収が認められることから破折の疑いがあります。
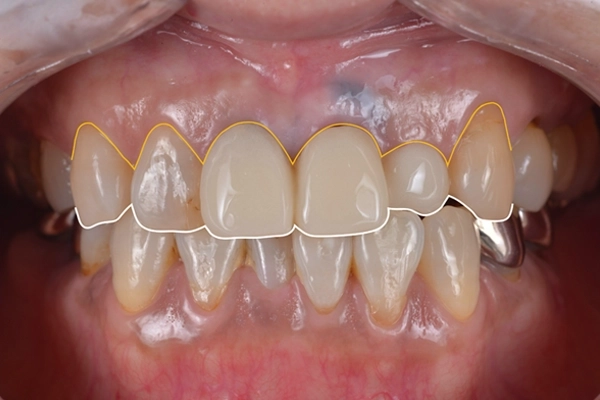
見た目の状態
歯茎のラインと歯の先端のラインが左上2番の影響で不揃いになっていました。
診断を踏まえた治療計画・治療方針
前歯部
前歯部については、抜歯が必要な箇所と、保存して治療する箇所を明確に分けて進めました。
治療計画
- 保存と修復
右上1番、左上2番は根管治療ののち、被せ物(補綴)を装着 - 抜歯とインプラント
保存不可能な左上1番は破折の可能性があるため、抜歯後にインプラント治療 - 歯列への対応
全体のバランスを整えるため、右上1番、左上2番の噛み合わせ(反対咬合)や歯の重なり(叢生)を整えるため現在の歯列をベースとしたインプラント・補綴設計へ
臼歯部
治療計画
今回の治療計画では以下の通り、今しっかり機能している歯を長持ちさせる処置を優先して行いました。
- 奥歯の根管治療(根の治療)
右上6番、左上4・5番、左下5番の根の治療を行った後、新しい被せ物を作製 - 左下のブリッジ
患者様の負担を軽減するため、ブリッジは外さずに上から精密な根管治療を行う
左下8番、右下5番については、本来であれば抜歯が検討される状態でした。患者様ご自身もその状態を理解されておりましたが、「長年このままで問題なく過ごせているので、抜歯はせず様子を見たい」という強いご希望がありました。
歯科医学的な理想としては、まず抜歯を行い、インプラントなどで噛み合わせの安定(バーティカルストップ)を確立させてから、前歯部の治療へと進むのがベストな順序です。しかし、当院では患者様の意思を尊重し、今回は無理に抜歯や欠損部分の治療(インプラント等)には着手しないことといたしました。
もちろん、現状を維持することのリスクについては十分にご説明させていただいております。今後、レントゲン画像に変化が見られたり、痛みなどの症状が出たりした場合には、その時点で改めて治療を検討するというお約束を交わしました。
治療経過
インプラント埋入
左上1番は抜歯後、抜歯即時は非適応なためリッジプリザベーション(※1)を行い待時埋入を行いました。
リッジプリザベーションの様子


(※1)リッジプリザベーションとは
歯を抜くと、支えていた周囲の骨は役目を終えたと感じて自然に痩せていってしまいます。これを防ぐための処置がリッジプリザベーションです。
抜歯した直後の穴に「骨を補う材料」を詰め、骨の吸収を最小限に抑えます。あらかじめ骨のボリュームを維持しておくことで、その後のインプラント治療をより安全・確実に、かつ見た目も美しく仕上げることが可能になります。
リッジプリザベーション後、骨が十分に成熟したため待時埋入を行いました。
埋入時の様子


仮歯の装着
インプラント体埋入してから6ヶ月経過後、メンブレンという膜を除去し歯肉が癒えてから唇側歯肉の厚みを増す術式でインプラント2次オペを行い単独歯の仮歯を作製し、装着しました。
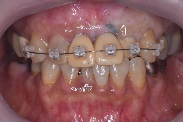
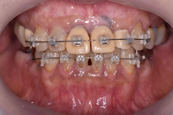
前歯の矯正治療
上顎と下顎の前歯の叢生(ガタガタした歯並び)の改善、左上2番の歯列改善のため右上3番〜左上3番、右下3番〜左下3番に唇側ブラケットを装着し歯列改善を行いました。
上顎はインプラントをアンカー(支点)として唇側傾斜、移動させ、下顎は右下1、2番と左下1、2番を中間地点くらいに移動させました。
矯正治療の様子
治療前の正面から見た様子です。
矯正後、歯の先端のラインを整えることができました。
治療前の上顎の様子
です。
矯正を行ったことで、上顎のアーチも整ってきていることがわかります。
治療前の下顎の様子
です。
矯正を行ったことで、前歯のガタガタ綺麗にすることができました。
矯正治療期間
動的期間は6ヶ月、保定期間も6ヶ月設け最終補綴に向けた仮歯を作製し、装着しました。
最終補綴の装着
計3回仮歯を装着した後、最終補綴に向けた被せ物を作製し、装着しました。


担当医からの所感
今回の治療では、矯正治療を併用したことで、見た目の美しさはもちろん、将来的にも安定して使い続けられる(予後の良い)前歯部の審美補綴(被せ物)を達成することができました。仕上がりには患者様にも大変喜んでいただけました。
一般的に、矯正治療はインプラント埋入よりも前に行うのが理想的とされています。これは、インプラントが一度骨と結合すると動かすことができないためです。
今回は治療計画の都合上、矯正に先立ってインプラントを埋入する形となりましたが、事前の精密な設計によって、結果としてそのインプラントが矯正をスムーズに進めるための「アンカー(支点)」として理想的に機能してくれました。
患者様一人ひとりの条件やご希望に合わせて、柔軟に、かつ確かな技術で対応することで、最善の結果を導き出すことができた症例となりました。
症例の詳細
| 治療時期 | 2023年5月 |
|---|---|
| 治療内容 | インプラント治療と矯正治療を 併用した治療 |
| 治療期間 | 2年4ヶ月 |
| 費用 | 部分矯正:165,000円(税込) インプラント:484,000円(税込)(オペ 308,000円+ 上部構造 176,000円) ソケットプリザベーション:55,000円(税込) |
| リスク | メンテナンスを怠るとインプラント周囲炎になる可能性がある 歯列が後戻りする可能性がある |
医院基本情報

押上で最新の高度医療を提供する歯医者押上そらいろ歯科
〒131-0045 東京都墨田区押上2丁目10-8
ライフコア押上103号
| 診療時間 | 月 | 火 | 水 | 木 | 金 | 土 | 日 | 祝 |
|---|---|---|---|---|---|---|---|---|
| 9:00-13:00 | ● | ● | ● | ● | ● | ● | / | / |
| 14:00-18:00 | ● | ● | ● | ● | ● | ● | / | / |
徒歩1分


- 押上駅A3出口より徒歩1分(京成成田スカイアクセス/半蔵門線/押上線/
東武スカイツリーライン/浅草線) - とうきょうスカイツリー駅より徒歩5分(りょうもう線/東武スカイツリーライン/
東武日光・きぬがわ線)

